
1Programa de Medicina Veterinaria y Zootecnia, Escuela de Ciencias Animales, Facultad de Ciencias Agropecuarias y Recursos Naturales, Universidad de los Llanos, Villavicencio, Colombia.
2Laboratorio de Patología,
3Bioparque Los Ocarros, Instituto de Turismo del Meta, Gobernación del Meta. Villavicencio, Colombia.
4Laboratorio de Farmacología, Universidad de los Llanos. Colombia.
jarincon.rios@unillanos.edu.co
avgarcia.delgado@unillanos.edu.co
julieta.ochoa@unillanos.edu.co
dumar.jaramillo@unillanos.edu.co
Recibido: 15 agosto 2025 / Aceptado: 02 noviembre 2025
Resumen
Se describe el caso clínico de un oso hormiguero, Myrmecophaga tridactyla, macho, joven, de vida silvestre, con un peso inicial de 28,4 kg que presenta diversas alteraciones tegumentarias, desde lesión en el espacio interdigital del miembro pélvico derecho, pasando por lesión en la pelvis, hasta una herida abierta y tumefacta en la parte superior derecha de la cadera. Se realizó una biopsia de tipo incisional de la porción de consistencia sólida de la lesión, cuyo aspecto es fibrinoso y se fijó en formalina buferada 10%. Pasados los días se empezó tratamiento con trimetropima/sulfametazina y ketoprofeno, sin embargo, no se vio reflejada una respuesta positiva en el animal, quien rechazó el alimento de manera progresiva hasta llegar a un rechazo total, desencadenando una pérdida de condición corporal. Tras realizar examen clínico, cuadro hemático y estudio histopatológico de la biopsia, se definió que el paciente presentaba un fibrosarcoma infiltrativo asociado a la lesión tegumentaria de la cadera. Basándose en los resultados de la biopsia, resultados del cuadro hemático signos relacionados como anorexia, emaciación progresiva, decaimiento y la baja respuesta a tratamientos médicos instaurados se decide realizar eutanasia. Con base a los hallazgos anatomopatológicos, se concluyó que las lesiones de mayor relevancia son posible peritonitis y la evidencia de masa compatible con neoplasia de origen mesenquimal. Según hallazgos histopatológicos el diagnóstico definitivo fue fibrosarcoma indiferenciado con células gigantes, carcinoma de células basales y peritonitis linfocítica hemorrágica. Se concluye que, siendo este el primer reporte de fibrosarcoma y carcinoma de células basales en M. tridactyla en Colombia, sirve como base epidemiológica dentro de la medicina de la conservación para la revisión, estudio y comparación de otros casos futuros de tipo neoplásico en especies silvestres.
Palabras clave: especies silvestres, neoplasia, clínica, salud animal.
Abstract. We report the clinical case of a young wild male giant anteater (Myrmecophaga tridactyla), weighting 28.4 kg, that presented multiple integumentary lesions, including one in the interdigital space of the right pelvic limb, another on the pelvis, and an open, edematous wound on the upper right hip. An incisional biopsy was obtained from the solid fibrinous portion of the lesion and fixed in 10% buffered formalin. Treatment with trimethoprim/sulfamethazine and ketoprofen was initiated after a few days; however, the animal failed to respond and progressively developed anorexia and marked body condition loss. Clinical examination, hematological analysis, and histopathological evaluation of the biopsy revealed an infiltrative fibrosarcoma associated with the hip lesion. Given the biopsy and blood test findings, along with clinical signs such as progressive emaciation, anorexia, and poor response to therapy, euthanasia was elected. Based on the pathological examination, the most significant findings were peritonitis and the presence of a mass compatible with mesenchymal-origin neoplasm. Histopathological evaluation confirmed an undifferentiated fibrosarcoma with giant cells, basal cell carcinoma, and hemorrhagic lymphocytic peritonitis. This report represents the first description of fibrosarcoma and basal cell carcinoma in M. tridactyla in Colombia and provides an epidemiological reference within conservation medicine for future reviews, studies, and comparisons of neoplastic cases in wild species.
Key words: wild species, neoplasia, clinical, animal health.
El oso palmero, Myrmecophaga tridactyla, es un mamífero del superorden Xenarthra que habita en Centro y Suramérica, distribuyéndose en las regiones geográficas colombianas de la Orinoquia, el Caribe y la Amazonia (Rojano et al. 2015). El oso palmero es un especialista en el consumo de hormigas y termitas, ocupando una amplia gama de hábitats de tierras bajas, desde matorrales secos y sabanas hasta bosques tropicales (Gaudin et al. 2018). Por su tamaño es uno de los mamíferos más notables de Sudamérica, con características muy particulares como su cola en forma de penacho, cabeza tubular, lengua y hocico largos (Buitrago et al. 2019).
Con el paso de los años se ha evidenciado un creciente conocimiento e investigación sobre las poblaciones de esta especie en las que se revela amenazas a las que son expuestas en su entorno natural (Diniz y Ditro 2012). Tales amenazas tienen un origen en común: la intervención antropogénica de su hábitat que potencializa el riesgo de lesiones por atropellamientos, caza, cruce de cercas perimetrales, incidentes con animales domésticos ferales o depredadores naturales, entre otros, que predisponen a consecuentes incapacidades locomotoras, lesiones cutáneas persistentes que abren paso a la presentación de miasis, estados de septicemia, neoplasias, e incluso la muerte (Rojano 2023).
Si bien las neoplasias están bien descritas en especies domésticas, para las presentadas en especies silvestres aún no hay gran variedad de estudios. Sin embargo, para M. tridactyla se han reportado algunos tipos de neoplasia, pero únicamente en Brasil, por ejemplo, linfoma hepático, linfomas en ganglios linfáticos intestinales y principalmente linfoma cardiaco (Curitiba, Brasil) (Sanches et al. 2013); tumor de células de Sertoli metastásico diagnosticado por análisis histopatológico e inmunohistoquímico (Minas Gerais, Brasil) (Santana et al. 2023) y carcinomas de células escamosas en la lengua de tres ejemplares cautivos (São Paulo, Brasil) (Arenales et al. 2020).
El fibrosarcoma es un tipo de neoplasia maligna de origen mesenquimal que consiste en la proliferación patológica de fibroblastos, cuyo crecimiento puede ser circunscrito o infiltrativo, sin predilección por el sexo, pero afectando mayormente a los especímenes adultos (Ruelas et al. 2020). Macroscópicamente tienen la apariencia de nódulos discretos elevados, que al palpar son firmes y rugosos o fluctuantes, blandos, de coloración blanquecina, caracterizada por una pseudocápsula no tan bien circunscrita, crecimiento rápido, proliferativo, comportamiento tumoral agresivo, pero poco metastásico (Arias et al. 2022). Microscópicamente se encuentran células tumorales fusiformes dispuestas en patrones entrelazados, de escaso citoplasma, núcleos alargados u ovales, con pocos nucléolos (Vallejo et al. 2015). Dependiendo de su grado de diferenciación, en los fibrosarcomas diferenciados, las células tumorales pueden parecerse a fibroblastos maduros que secretan colágeno con raras mitosis, mientras que, en los fibrosarcomas no diferenciados, pueden presentar células muy atípicas, pleomórficas, células gigantes multinucleadas, numerosas atípicas y poca producción de colágeno (Avci et al. 2010, Vallejo et al. 2015).
Cabe considerar que es de suma importancia, en caso de pacientes neoplásicos, que los médicos tratantes conozcan el estado del animal para poder generar un tratamiento. En la mayoría de los casos es el tratamiento quirúrgico el elegido como la principal terapia, tanto en animales como en humanos, puesto que trae consigo mejores resultados que los tratamientos médicos combinados (Mehler y Bennett 2004). Por ejemplo, autores como Galeno et al. (2020) confirman que el tratamiento para un fibrosarcoma consiste en la resección quirúrgica con un amplio margen de seguridad, siendo los injertos de piel de espesor total que incluyen la epidermis y la dermis completa, utilizados para cubrir defectos. Otros como Seró et al. (1994), sugieren que, debido a la tendencia infiltrante del tumor, la quimioterapia posoperatoria constituye una terapia complementaria muy importante a tener en cuenta para evitar, en lo posible, metástasis y recidivas.
González et al. (2015) reportan una mayor incidencia de neoplasias de origen mesenquimal (80%) que de origen epitelial (20%) en animales de vida silvestre estudiados en el laboratorio de histopatología de la Universidad de los Llanos (Villavicencio, Colombia), tendiendo al incremento de casos estudiados y registrados. Este tipo de aportes literarios sobre neoplasias en animales silvestres, contribuyen al crecimiento de las bases epidemiológicas de la medicina de la conservación, que puede facilitar la revisión, estudio y comparación de casos futuros. Por lo tanto, el objetivo de este estudio fue describir un caso de fibrosarcoma infiltrativo y carcinoma de células basales asociados a lesión tegumentaria en la cadera de un oso palmero (M. tridactyla) juvenil, de vida silvestre, recuperado en condiciones clínicas desfavorables en la inspección Pachaquiaro del municipio de Puerto López (Meta, Colombia).
La Corporación para el desarrollo sostenible del área de manejo especial de La Macarena (CORMACARENA) rescató un oso palmero (M. tridactyla) macho, joven, postrado con lesiones sobre la región pélvica, que es remitido al Centro de Atención y Valoración del Bioparque Los Ocarros en Villavicencio, para su evaluación médica. Esta actividad se enmarcó en los lineamientos sobre aprovechamiento, conservación e investigación de fauna silvestre del decreto 1608 de 1978 del Código Nacional de Recursos Naturales Renovables y de Protección al Medio Ambiente y las medidas de manejo para la fauna silvestre tras decomiso, aprehensión preventiva o restitución de la resolución 2064 de 2010 en Colombia. A partir de la valoración médica se plantea y realiza como plan diagnóstico la toma de una biopsia incisional de la lesión de la región pélvica obteniendo una muestra firme, sangrante, de aspecto fibrinoso, fijada en formalina buferada 10% para estudio histopatológico con tinción hematoxilina-eosina (H&E) y picrosirius red (PR).
Como plan terapéutico inicial se trabajó con Ceftiofur 4 mg kg-1 vía intramuscular (IM), cada 24 horas durante 5 días; Meloxicam 0,5% 0,1 mg kg-1 IM y terapia de rehidratación. También se formuló una dieta de acuerdo con las necesidades fisiológicas de la especie y la edad, compuesta por leche deslactosada, Petmilk®, Nestum®, huevo cocido, pollo cocido, ofreciéndole 3 veces al día, de manera asistida, siempre ofreciendo insectos adicionalmente (Ruiz y Tello 2014).
Ante la valoración médica se registra frecuencia cardiaca de 40 latidos por minuto, frecuencia respiratoria de 24 respiraciones por minuto, temperatura corporal de 33,8 °C, mucosas de color rosa pálido, tiempo de llenado capilar de 5 segundos, un temperamento nervioso, actitud alerta, peso corporal de 28,4 kg y condición corporal 2 de 5, condición delgada según Clark et al. (2016). Además, se registran diversas alteraciones tegumentarias del miembro pélvico derecho (MPD), tales como una lesión lacerativa en el espacio interdigital y la presencia de una masa en la parte superior derecha de la cadera descrita en la Figura 1.

Luego de 13 días, se reevaluó el paciente tras observar mayor depresión, disminución del apetito y consecuente pérdida de peso. Se realizó toma de muestra de sangre para cuadro hemático, en el cual se evidencia una marcada trombocitopenia, hemoconcentración moderada, granulocitosis de leve a moderada acompañada de monocitosis (Tabla 1). Adicionalmente, se tomó muestra de heces de la ampolla rectal para análisis coprológico a través de la técnica McMaster de la que se resalta el pH alcalino, la presencia de linfocitos como posible indicador de respuesta inflamatoria del intestino y la presencia de quiste de Giardia spp. (Tabla 2). Además, se inicia la administración trimetropima/sulfametazina 25 mg kg-1 por vía oral (PO), seguido de la administración de ketoprofeno 1 mg kg-1 vía IM, durante 3 días.


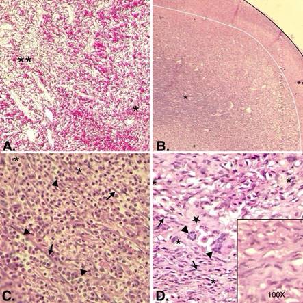
Los resultados del análisis histopatológico de la biopsia con la tinción H&E evidencia una lesión ulcerativa en toda la extensión de la muestra subyacente a la úlcera, haces de células con núcleos fusiformes, elongados, ovalados basófilos, y con nucleolos evidentes, además de pleomorfismo celular con anisocariosis. Hay bastante celularidad e hipercromatismo. En la muestra se identificó un tumor de tipo infiltrativo, no encapsulado, con grandes fascículos o haces de fibroblastos neoplásicos, con vasculitis linfocítica en algunas zonas de la neoplasia. Adicional, con la tinción especial PR se encuentra un 98% de la neoplasia marca de color rojo evidenciando colágeno tipo I y III, zona de hemorragias y vasos sanguíneos que marcan de amarillo en una zona de la neoplasia. Finalmente se obtiene como diagnóstico de la biopsia un fibrosarcoma infiltrativo (Figura 2).
Teniendo en cuenta la evolución clínica del paciente que lo llevó a anorexia y posterior estado de emaciación progresiva, los resultados del cuadro hemático y el diagnóstico de neoplasia maligna de la biopsia, se descarta la posibilidad de proceder a tratamiento quirúrgico y se tomó la decisión de realizar eutanasia al paciente siguiendo los lineamientos de la ley 84 de 1989. Durante la necropsia se reportaron hallazgos anatomopatológicos (macroscópicos) y se colectaron muestras para estudio histopatológico de hígado, corazón, pulmón, bazo, intestino delgado, estómago, riñón, vejiga, mesenterio, cerebro, testículo y de la neoplasia conservados en formalina buferada 10%.
En la necropsia se observaron hallazgos anatomopatológicos preponderantes externamente, además de los relatados en el examen clínico, tales como petequias en peritoneo, aumento del tamaño del bazo con posible patrón de hiperplasia folicular marcada, presencia parasitaria género Physaloptera sobre la mucosa gástrica, acompañados de eritema leve en región fúndica y antro pilórico. Además, congestión moderada en vasos leptomeníngeos del cerebro, pulmones, duodeno, yeyuno y riñones. Finalmente, como diagnóstico anatomohistopatológico presuntivo de necropsia: neoplasia de origen mesenquimal, peritonitis difusa y gastritis verminosa.
A nivel microscópico se describe presuntivamente un tumor de células basales con núcleo central hipercromático y otras formando nidos de tipo infiltrativo asociado al fibrosarcoma infiltrativo. Las células tienen un citoplasma claro, núcleo picnótico, hipercromático y se observa fibroplasia asociada entre los nidos y cordones de células basales acompañado de infiltrado polimorfonuclear. La muestra carece de epitelio y adyacente a las células basales encontramos el inicio del fibrosarcoma comprendida por infiltración de fibroblastos de núcleos grandes, hipercromáticos junto a fibrocitos maduros y los fibroblastos densamente empaquetados, formando haces. En esta región hay neovascularización y un difuso infiltrado inflamatorio polimorfonuclear, bastante basofílico. En la dermis profunda hay fibroblastos que están formando haces y remolinos finos con fibroplasia. Hay figuras de mitosis aberrantes y células gigantes multinucleadas, núcleos de fibroblastos pleomórficos nucleares agrandados, binucleación. Este fibrosarcoma es indiferenciado y está asociado al posible tumor de células basales maligno.
Dentro de los demás hallazgos microscópicos se resaltan, dilatación cardiaca, leve hiperplasia del epitelio respiratorio de la tráquea, la presencia de un pólipo sobre la mucosa gástrica, presencia de figuras compatibles con Cryptosporidium spp. en el mesenterio, necrosis e infiltrado inflamatorio en epitelio intestinal. Es de importancia mencionar que en la muestra de testículo se observan túbulos seminíferos ocluidos en gran cantidad; lo que, según Fromme et al. (2021), puede significar que el testículo está en fase de reposo (ciclo de espermatogénesis en reposo); túbulos seminíferos con contenido o secreciones en el lumen que se producen al interior del túbulo seminífero en un 60%, indicando que el animal ha alcanzado la pubertad y está generando células espermáticas viables.

Por los hallazgos anatomopatológicos e histopatológicos el diagnóstico general del cuadro clínico que evolucionó en el paciente es orientado a una posible sepsis con síndrome de respuesta inflamatoria sistémica, cuyo sitio de origen es altamente probable el tracto gastrointestinal.
El estudio de neoplasias en especies silvestres, en particular las de M. tridactyla, presentan una limitante para la medicina de la conservación, atribuida a la poca documentación existente y disponible, sin dejar a un lado a la reducción evolutiva del riesgo a padecer cáncer de algunas especies como lo menciona Cruz et al. (2017). Si bien se han reportado neoplasias como linfomas y tumores de células de Sertoli en ejemplares M. tridactyla cautivos en Brasil (Sanches et al. 2013, Santana et al. 2023), hasta la fecha no existen reportes publicados en Colombia sobre fibrosarcoma infiltrativo ni carcinoma de células basales en esta especie.
En ejemplares del superorden Xenarthra se ha analizado la reducción del riesgo intrínseco de cáncer gracias a genes supresores de tumores que enriquecen las vías reguladoras de apoptosis y del ciclo celular. En el caso de M. tridactyla se indica una prevalencia de neoplasia de 2,3%, con una prevalencia media de 1,4% para xenartros en general (Vázquez et al. 2022). Sin embargo, los casos reportados son de animales en cautiverio, por lo que hay quienes han determinado que estos son más afectados debido a que tienen periodos de vida más largos y, por ende, mayor riesgo de exposición a factores carcinogénicos (Owston et al. 2008).
El presente estudio se fundamenta en el análisis histopatológico y la literatura reportada por otros autores como referentes para la identificación y definición del tipo de neoplasia presentado. Así pues, la histopatología descrita en la biopsia del presente caso coincide con características microscópicas descritas por Avci et al. (2010) y Vallejo et al. (2015). Estos autores destacan la presencia de células con núcleos fusiformes elongados, ovalados basófilos, y con nucléolos evidentes, conformando una neoplasia de tipo infiltrativo, no encapsulado, con grandes fascículos o haces de fibroblastos neoplásicos
Alfaro y Burgués (2018) describen histológicamente otras características de los sarcomas en glándulas mamarias como la presencia de islotes tumorales perivasculares, con un patrón de células en disposición estoriforme y de tendencia infiltrante similar a lo que se evidencia en los resultados tanto de la biopsia como de la necropsia. Además, mencionan áreas escleróticas hialinas y focos necróticos. De igual manera, Donner et al. (2000) caracterizan los fibrosarcomas, en otras palabras, como tumores mayoritariamente oligocelulares pero con focos moderadamente celulares de matriz esclerosada, hialina y en parte eosinófila, donde dichas células neoplásicas son de citoplasma escaso e indistinto, dispuestas en forma de anillos, con núcleos ovoides. Ambos autores describen áreas escleróticas hialinas y en parte eosinófilas, que corresponden a la fibroplasia y la abundante presencia de colágeno tipo I y III reportadas en la descripción microscópica de la biopsia con las tinciones H&E y PR.
El análisis adicional con la tinción especial PR al que fue sometida la muestra obtenida en la biopsia fue importante para la diferenciación del tipo de neoplasia presentada por el paciente. Esta tinción colorea de rojo el colágeno al reaccionar con las moléculas del compuesto sulfonateadazo aniónico (rojo Sirius F3BA) (García et al. 2018), dando mayor peso a la identificación y diagnóstico del presente caso. Así pues, las fibras tipo I y III de colágeno que conforman un 98% de la matriz extracelular de la lesión del palmero muestran una mejor birrefringencia natural debido a la presencia de sus unidades submicroscópicas se encuentran ubicadas en dirección paralela a las de las fibras colágenas, facilitando la identificación del fibrosarcoma basado en la diferenciación de dichas fibras (Samar et al. 2012).
Al ser un ejemplar de vida silvestre se desconocen datos previos a su aprehensión a los que se pueda atribuir el desarrollo de la neoplasia. Sin embargo, se encuentra concordancia con autores que asocian la etiología de los fibrosarcomas a algunos desórdenes genéticos o exposiciones a radiaciones, por ejemplo, el originado por la mutación de los genes supresores tumorales gen P53 y RB1 (Mercado et al. 2005), siendo esta la causa más acorde a este caso. Incluso, se ha vinculado el desarrollo de fibrosarcomas post vacunación en los sitios de punción en gatos domésticos, planteando la hipótesis de la exacerbación de la respuesta inflamatoria crónica hasta generar malignidad por sobreexpresión de factores de crecimiento (Vascellari et al. 2003, Aragón 2017, Hartmann et al. 2023). Si bien este último factor es válido para algunos casos, en este es descartado por la baja probabilidad de que haya sido puncionado por su estado de vida silvestre.
Por otro lado, el carcinoma de células basales (CCB) que se encontró asociado al fibrosarcoma del paciente, también es llamado carcinoma basocelular y se define como una neoplasia cutánea no melanocítica, que se deriva de células no queratinizadas de la parte basal de la epidermis (Seijas et al. 1999). Según Soto et al. (2018) las células de tal capa basal inician una proliferación hacia abajo y hacia la periferia del lóbulo de células neoplásicas, de manera empalizada, abriendo paso a la diferenciación esclerosante que presenta un denso estroma. permitiendo así el posible desarrollo subsecuente del fibrosarcoma descrito inicialmente desde el análisis histopatológico de la biopsia. Por otro lado, Cerdas (2014) también diferencia histopatológicamente otros tipos de CCB como por ejemplo los nodulares, con ulceración, micronodular, multifocal o superficial y el tipo fibroepitelioma que comparte características histológicas en cuanto a la producción de la matriz colágena por parte de los fibrocitos. Por esta similitud de algunas características microscópicas relacionadas en el análisis histopatológico del paciente, es recomendable la realización de pruebas inmunohistoquímicas para evitar confusiones a la hora del diagnóstico. De igual forma, habría que correlacionar factores para la presentación de dos tumores primarios múltiples, tales como la edad y tiempo de evolución de la lesión, siendo este último desconocido.
Etiopatogénicamente, Cajina-Vásquez (2012) menciona el impacto de la radiación ultravioleta intensa en la formación de los CCB, siendo acogido como un determinante importante para su desarrollo. De ahí que, la exposición directa a rayos de luz UVB induce a mutaciones tras afectar la producción de genes supresores tumorales por los daños que causa en el ADN. A diferencia de estos, la exposición a rayos UVA conduce a estrés fotooxidativo y mutaciones generadas por las especies reactivas de oxígeno producidas, estableciendo una relación entre los rayos UV y la inmunosupresión del individuo. De acuerdo a esto, la exposición constante del paciente a rayos UV provenientes de la radiación solar en su hábitat natural, previo a su rescate, se convierte en el factor predisponente principal para la formación de dicho CCB, explicando así la etiopatología particular del caso. Cabe resaltar que existen otros factores de riesgo como la radiación ionizante o radioterapia, la inmunosupresión y la genética, relacionando el síndrome de carcinoma nevoide de células basales (Santaliz y Sanchez 2018)
En cuanto a tratamientos de neoplasias que se pueden extrapolar desde el manejo realizado en especies domésticas para desarrollar en el paciente rescatado, hay algunos autores que proponen tratamientos médicos, quirúrgicos o multimodales. Por ejemplo, Waller y Pruschy (2021) recomiendan para las neoplasias malignas una terapia multimodal en la que se incluye la radioterapia definitiva preoperatoria finalizando esta de 2 a 4 semanas antes de la resección quirúrgica y la cirugía con buenos márgenes de seguridad (2-5 cm). Aun así, ante neoplasias potencialmente invasivas como el fibrosarcoma, hay oncólogos que complementan el tratamiento ya mencionado con quimioterapia para ampliar el intervalo de vida del paciente libre de la enfermedad, utilizando quimioterapéuticos como la doxorrubicina, la ciclofosfamida, la doxorrubicina liposomal, carboplatino, la ifosfamida y la lomustina (Kliczkowska et al. 2015).
Sin embargo, a raíz de la escases de estudios sobre el tratamiento de neoplasias enfocado en animales silvestres y evidencia científica que muestre el éxito de algún tratamiento, pasando por las limitaciones tecnológicas en equipo de radioterapia; además del estado crítico del paciente que lo lleva a anorexia, emaciación progresiva, decaimiento, la presentación de marcada trombocitopenia, sumado a la baja respuesta a tratamientos médicos instaurados; en este caso se recurre a la eutanasia. Es de resaltar que la trombocitopenia, una de las principales razones por la cual no se realiza tratamiento quirúrgico en el paciente, según Milanjeet et al. (2014) puede tener causas inmunomediadas, a raíz de procesos inflamatorios, procesos neoplásicos, vasculitis, entre otros; e implica un alto riesgo durante el procedimiento quirúrgico y en el periodo de cicatrización, lo que podría complicar la resolución del caso.
Para finalizar, si es claro que la definición del diagnóstico se basa en la identificación del tipo de neoplasia desde análisis histopatológico relacionado con la literatura encontrada, se resalta la importancia y se recomienda para futuros estudios realizar análisis inmuhistoquímico para la confirmación de diagnóstico definitivo a partir de marcadores propios del tipo de neoplasia. Se sugiere la evaluación de marcadores de neoplasias mesenquimales tal como la vimentina y desmina para la identificación de fibrosarcoma (Miettinen 2014, Vallejo et al. 2015) y la evaluación de marcadores como CD34, CD10, BerEP4, p63, BCL2 y antígeno de membrana epitelial para la identificación de CCB (Tebcherani et al. 2012, Bautista y Posso 2021). Con esta evaluación inmunohistoquímica se puede confirmar el diagnóstico definitivo y esclarecer la posible aparición de dos tumores principales malignos en un paciente tan joven.
Si bien se han reportado algunos casos de neoplasias en la especie M. tridactyla, desde el conocimiento de los autores este sería el primer reporte de fibrosarcoma y carcinoma de células basales en M. tridactyla en Colombia, reporte de caso clínico que servirá como base epidemiológica dentro de la medicina de la conservación de este tipo de patología neoplásicas en especies silvestres.
Agradecimientos. Al personal técnico operativo y administrativo del Bioparque Los Ocarros por su colaboración en el rescate y manejo clínico del ejemplar. Al personal asistencial del Centro Clínico Veterinario de la Universidad de los Llanos por el acompañamiento en las pruebas diagnósticas y en el tratamiento médico del paciente.
Contribución de los autores. RJA: procesó los datos y redactó el artículo con la colaboración de todos los autores. GAV: procesó los datos y redactó el artículo con la colaboración de todos los autores. OJE: realizó el estudio y análisis histopatológico. CPF: contribuyó al muestreo y realizó el estudio anatomopatológico. LL: seguimiento clínico del paciente. JHDA: procesó los datos y redactó el artículo con la colaboración de todos los autores.
Declaración de conflictos de intereses. Los autores declaran no tener conflictos de intereses financieros ni relaciones personales conocidas que pudieran haber influido en el trabajo presentado en este artículo. Disponibilidad de datos. Los datos estarán disponibles previa solicitud.