
1Escuela Superior Politécnica de Chimborazo, Facultad de Ciencias Pecuarias, Carrera de Medicina Veterinaria. Panamericana Sur km 1 ½ Riobamba, Ecuador.
2Universidad Regional Autónoma de los Andes, Facultad de Ciencias Médicas, Carrera de Medicina Veterinaria. Km 5 1/2 de la Vía a Baños, Ambato, Tungurahua, Ecuador
luis.condolo@espoch.edu.ec
Resumen
La administración de antiinflamatorios no esteroideos (AINEs) de uso humano en animales de compañía representa un riesgo crítico en medicina veterinaria debido a su nefrotoxicidad, agravada frecuentemente por la automedicación por parte de los tutores. Estos fármacos inhiben las prostaglandinas que regulan el flujo sanguíneo renal, provocando daños severos, especialmente en dosis altas o animales deshidratados. En este reporte se describe el caso de un canino macho de raza Golden Retriever de 13 años que desarrolló lesión renal aguda (LRA) tras la administración de ibuprofeno, destacando así la importancia de un diagnóstico precoz y un manejo adecuado. El tratamiento consistió en fluidoterapia y productos farmacológicos para mitigar signos clínicos y restaurar la función renal. Se concluyó que, aunque el paciente presentó una mejora clínica, la lesión renal aguda inducida por AINEs en veterinaria requiere una monitorización constante mediante el uso de biomarcadores específicos, lo que permite una detección temprana del daño renal.
Palabras clave: lesión renal aguda, ibuprofeno, enfermedad canina, terapia, diagnóstico.
Abstract. The use of human NSAID, such as ibuprofen, poses a critical risk in veterinary medicine due to their nephrotoxicity, frequently exacerbated by self-medication by pet owners. These drugs inhibit prostaglandins that regulate renal blood flow, causing severe damage, particularly at high doses or in dehydrated animals. This report presents the case of a 13-year-old male Golden Retriever that developed acute kidney injury (AKI) following ibuprofen administration, highlighting the importance of early diagnosis and appropriate clinical management. Treatment included fluid therapy and pharmacological agents aimed to alleviate clinical signs and restore renal function. It was concluded that, although the patient showed clinical improvement, NSAID-induced acute kidney injury in veterinary medicine requires continuous monitoring using specific biomarkers, which allows for early detection assessment of renal damage.
Key words: Acute kidney injury, ibuprofen, canine, therapy, diagnosis.
La funcionalidad renal es fundamental para la homeostasis sistémica mediante la regulación electrolítica y la excreción de desechos metabólicos. En la clínica canina, la lesión renal aguda (LRA) es una patología recurrente, frecuentemente asociada a la toxicidad por antiinflamatorios no esteroideos (AINEs), los cuales poseen un margen de seguridad reducido en perros. El presente reporte analiza la fisiopatología, diagnóstico y terapéutica de la intoxicación por ibuprofeno, con el fin de optimizar protocolos clínicos y fundamentar estrategias de concienciación sobre los riesgos de la automedicación (Chalifoux et al. 2023).
El ibuprofeno inhibe las enzimas COX-1 y COX-2, suprimiendo la síntesis de prostaglandinas protectoras. Esta alteración desencadena procesos de isquemia, inflamación y Necrosis Tubular Aguda (NTA) al comprometer el flujo sanguíneo renal. Clínicamente, el cuadro se manifiesta con malestar gastrointestinal, deshidratación, dolor abdominal y, en estadios avanzados, ictericia y anemia por déficit de eritropoyetina (Sumano et al. 2015).
El diagnóstico se fundamenta en la detección de azotemia y la reducción de la densidad urinaria. Es crucial diferenciar la LRA de la Enfermedad Renal Crónica mediante una anamnesis detallada que identifique signos previos de cronicidad como poliuria, polidipsia o cambios morfológicos renales (Miyakawa et al. 2021).
El pilar del tratamiento consiste en la restauración hemodinámica mediante fluidoterapia con cristaloides (Lactato de Ringer), ideal para corregir la acidosis metabólica y la hiperfosfatemia (Pardo et al. 2024). El manejo clínico incluye, protección gastrointestinal que consiste en el uso de inhibidores de secreción ácida (omeprazol o ranitidina) para tratar úlceras inducidas, el control de pérdidas que es la administración de antieméticos (maropitant, ondansetrón o metoclopramida) para estabilizar el equilibrio hidroelectrolítico y el manejo de la hipertensión que es el uso de enalapril para modular el Sistema Renina-Angiotensina-Aldosterona, alterado por la pérdida de la tasa de filtración glomerular (Cunningham 2020).
El presente reporte tuvo como objetivo describir un caso de un canino macho de raza Golden Retriever de 13 años que desarrolló LRA tras la administración de ibuprofeno.
Descripción del caso clínico.
Anamnesis. Se presenta a consulta un canino macho, Golden Retriever de 13 años y 26 kg de peso, con estado reproductivo entero. El motivo de consulta es un cuadro agudo de 24 h de evolución caracterizado por emesis, depresión y anorexia. En la anamnesis, el tutor reporta la administración iatrogénica de ibuprofeno (400 mg cada 8 h durante 72 h) para el manejo de dolor articular crónico.
Hallazgos examen físico. A la inspección inicial, el canino de 13 años mostró comportamiento letárgico, con un temperamento apático y pelaje opaco. Se observan mucosas pálidas. Presenta deshidratación leve (5%) con una disminución de la turgencia cutánea. A la palpación abdominal se detecta dolor en la zona del abdomen craneal, y se evidencia ausencia de ruidos intestinales.
La Figura 1 muestra al paciente al examen físico general que presenta un tiempo de llenado capilar de 2 segundos y una condición corporal de 3/5. Las constantes vitales se mantienen dentro de los rangos fisiológicos para la especie y edad: temperatura de 38,7 C, frecuencia cardíaca de 88 lpm y frecuencia respiratoria de 22 rpm. La evaluación de la presión arterial sistémica, realizada mediante un monitor Vet Care AM6100 (promedio de cuatro mediciones), reportó valores de 150/90 mmHg. Estos registros indican una hipertensión leve, la cual podría estar asociada a cambios vasculares propios de la vejez o al compromiso renal subyacente.

Diagnóstico. El protocolo diagnóstico incluyó un uroanálisis, un hemograma y una bioquímica sanguínea. Para el uroanálisis, se recolectó una muestra de orina estéril mediante cistocentesis ecoguiada, la cual fue procesada por centrifugación durante 15 minutos para su posterior evaluación microscópica del sedimento. Por otro lado, la muestra sanguínea se obtuvo por venopunción yugular para el procesamiento de las pruebas hematológicas y químicas correspondientes.
La Figura 2 indica presencia de espermatozoides en placa de orina al tratarse de un perro entero (no castrado), además, en la Figura 3 se observó prostatitis al momento de la ecografía, lo cual indica una inflamación de la próstata, datos complementarios a la patología principal.


En la Tabla 1 se realizó el análisis de una muestra de orina colectada por cistocentesis se observó una densidad urinaria de 1,037, proteinuria y pH de 5,5 reflejando una adecuada capacidad de concentración renal pese al leve incremento, el cual es consistente con el historial de pérdidas gastrointestinales del paciente.

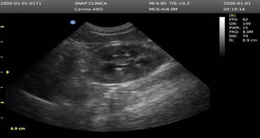
En la Figura 4 la evaluación ecográfica reveló una corteza renal hiperecogénica, sugiriendo un cuadro de LRA secundaria a la ingesta de AINEs. Ante este hallazgo, se procedió con el protocolo de emergencia, cuya primera medida fue la interrupción de la administración del fármaco. Posteriormente, la confirmación diagnóstica se obtuvo mediante analítica sanguínea (hemograma y bioquímica), lo que permitió personalizar la terapia de soporte y el manejo sintomático necesarios para la estabilización del paciente.

En la Tabla 2 se observa una linfopenia leve, posiblemente causado por un proceso inflamatorio crónico o estrés prolongado, lo que puede estar relacionado con el estado de salud del paciente.

En la Tabla 3 se asume una lesión renal aguda de estadio 1, respaldada por un ligero aumento en los niveles de creatinina (1,5 mg dL-1), lo cual es indicativo de una función renal comprometida. La azotemia parece ser de origen prerrenal, debido al aumento de creatinina junto con la ligera elevación en el nitrógeno ureico en sangre (27 mg dL-1). La estadificación se basa en la escala IRIS (International Renal Interest Society) para LRA, como se muestra en la Tabla 4.


Tras el antecedente farmacológico (Ibuprofeno) existen marcadores predictivos tardíos como el BUM y creatinina, mientras que el SDMA (Dimetilarginina simétrica) es un marcador temprano de daño renal; ambos muestran la alteración en el funcionamiento renal.
En la LRA los marcadores funcionales como el nitrógeno ureico sanguíneo (BUN) y la creatinina se elevan cuando existe una lesión renal severa que afecta al menos un 75% de la tasa de filtración glomerular; al no presentarse azotemia se asume un correcto funcionamiento renal siendo un diagnóstico erróneo.
Tratamiento. El paciente después de los exámenes fue hospitalizado para restablecer la pérdida de fluidos y estimular la función renal, se procedió a realizar fluidoterapia con cristaloides (Lactato de Ringer) como se observa en la Figura 5, además, medicamentos para el tratamiento sintomático con los siguientes fármacos, tales como:
Metoclopramida 0,5 mg kg-1 (se utilizó como antiemético para tratar las pérdidas por vómito (emesis) y como parte del manejo para corregir la acidosis metabólica, y Dipirona 25 mg kg-1 como analgésico.
El protocolo terapéutico se centró en la restauración hemodinámica mediante el uso de cristaloides isotónicos y la protección de la mucosa gastrointestinal con ranitidina (2 mg kg-1) para mitigar la ulceración inducida por AINEs. Tras la estabilización, el manejo ambulatorio incluyó una dieta restringida en fósforo y el seguimiento bioquímico periódico. Como medida complementaria para el control de la patología prostática concomitante, se recomendó la orquiectomía electiva.

Seguimiento. Al control tras un mes de tratamiento, el paciente evidenció una resolución de la azotemia con la normalización de los niveles séricos de creatinina y BUN, además de un equilibrio electrolítico estable, validando la eficacia del manejo dietético. Asimismo, se observó la remisión de la hipertensión arterial leve registrada inicialmente; este cuadro se atribuyó a la restauración de la tasa de filtración glomerular y a la consecuente normalización de la excreción de sodio.
Evolución. La LRA inducida por AINEs representa un desafío clínico crítico, especialmente cuando coexiste con estados de hipoperfusión renal (Segev et al. 2024). El mecanismo subyacente radica en la inhibición de las prostaglandinas, lo que compromete el flujo sanguíneo renal y exacerba la nefrotoxicidad en pacientes con deshidratación o hipotensión (García Sacristán 2020). Aunque la elevación de creatinina sérica y nitrógeno ureico confirma el daño renal, estos marcadores presentan una sensibilidad limitada en fases tempranas (Daza y Ayuso 2004).
La evidencia actual sugiere que la dependencia exclusiva de la creatinina retrasa la intervención oportuna (Braff et al. 2014) Por ello, la integración de nuevos biomarcadores resulta imperativa: SDMA ofrece una estimación de la tasa de filtración glomerular (TFG) más precoz que la creatinina mientras que, NGAL (Lipocalina asociada a gelatinasa de neutrófilos) actúa como un indicador directo de daño tubular proximal, permitiendo identificar la lesión antes de que se manifieste mucho antes del incremento de la creatinina sérica (Lee et al. 2012).
Es fundamental diferenciar la mejoría sintomática de la recuperación funcional completa, además de realizar un seguimiento permanente. La resolución de la azotemia no implica necesariamente la restauración de la integridad renal (Chalifoux et al. 2023). Una recuperación exitosa debe validarse mediante criterios objetivos: incremento sostenido del gasto urinario, optimización de la TFG y la ausencia total de criterios IRIS (Rimer et al. 2022).
La LRA se define como un compromiso funcional abrupto que desencadena el acúmulo de solutos urémicos y desequilibrios metabólicos sistémicos. En el contexto clínico, la administración de AINEs representa una causa crítica de nefrotoxicidad iatrogénica.
Las conclusiones clave del estudio es el impacto estructural, la toxicidad por AINEs que compromete directamente la integridad de las nefronas, alterando los procesos de filtración y excreción glomerular. Así mismo el mecanismo de daño, el fármaco actúa como un agente nefrotóxico que interrumpe la homeostasis renal, exacerbando el riesgo de falla multiorgánica. Además, es un determinante pronóstico, la celeridad en la identificación e intervención médica es el factor fundamental para mitigar consecuencias potencialmente letales y preservar la viabilidad del órgano.
La detección temprana y el conocimiento de la fisiopatología de la LRA por AINEs son pilares esenciales para interrumpir la cascada de daño renal. El diagnóstico proactivo actúa como una medida nefroprotectora que garantiza la recuperación funcional y previene la cronicidad de la patología.