
facundolazartevet@gmail.com
Luzlobatochalabevet@gmail.com
anapaulaibanezpicon@gmail.com
Melisa.iflores@gmail.com
gonzalovj78@gmail.com
francolezcano073@gmail.com
Recibido: 23 diciembre 2025 / Aceptado: 18 marzo 2026
Resumen
Paciente canino mestizo, macho, de 3 años, procedente de Termas de Río Hondo (Argentina), presentó signos gastrointestinales con un mes de evolución (diarrea hemorrágica, vómitos, dolor abdominal y fiebre inicial), refractarios al tratamiento. Al ingresar al servicio veterinario presentaba una deshidratación del 7%. Ecográficamente se reveló engrosamiento duodenal y linfadenomegalia yeyunal. La laparotomía exploratoria confirmó lesiones intestinales graves, realizándose enterectomía con toma de muestra para histopatología y transfusión sanguínea. A las 48 horas posquirúrgicas desarrolló ascitis con cultivo positivo a Proteus mirabilis. La histopatología confirmó lesiones compatibles con pitiosis entérica por Pythium sp. El paciente falleció en las 24 horas posteriores. Este caso resalta la agresividad de la pitiosis entérica y la importancia del diagnóstico temprano en zonas endémicas.
Palabras claves: Lesiones intestinales, diarrea hemorrágica, linfadenomegalia, ascitis, Pythium sp.
Abstract. A 3-year-old male mixed-breed dog from Termas de Río Hondo, Argentina, presented with a one-month history of gastrointestinal signs, including hemorrhagic diarrhea, vomiting, abdominal pain, and initial fever, which were refractory to treatment. Upon admission to the veterinary service, the patient showed 7% dehydration. Ultrasonographic examination revealed duodenal wall thickening and jejunal lymphadenomegaly. Exploratory laparotomy confirmed severe intestinal lesions, and an enterectomy was performed with sample collection for histopathological examination, along with blood transfusion. Forty-eight hours after surgery, the patient developed ascites with a positive culture for Proteus mirabilis. Histopathology confirmed lesions compatible with enteric pythiosis caused by Pythium sp. The patient died within the next 24 hours. This case highlights the aggressiveness of enteric pythiosis and the importance of early diagnosis in endemic areas.
Key words: Intestinal lesions, hemorrhagic diarrhea, lymphadenomegaly, ascites Pythium sp.
La pitiosis es una infección piogranulomatosa crónica del tracto gastrointestinal o de la piel, causada por el patógeno acuático del género Pythium spp. perteneciente a la clase oomiceto, un grupo de protistas filamentosos conocidos como "mohos acuáticos" o pseudohongos. La enfermedad afecta a equinos denominándose como “cáncer de los pantanos”, a humanos como “pitiosis”, a caninos como “infección por moho acuático” y a bovinos conocida como “pitiosis” o “zigomicosis”. El organismo se distingue de los hongos verdaderos por la composición de su pared celular que está compuesta principalmente de celulosa y β-glucanos (no de quitina). Además, tiene la capacidad de producir zoosporas biflageladas (etapa de reproducción asexual) en un entorno acuático adecuado y requiere de una planta acuática para la colonización como parte de su ciclo de vida (Sukanan 2022, Yolanda y Krajaejun 2022).
En caninos en la presentación cutánea se evidencian lesiones granulomatosas, con áreas de alopecia, fístulas y descargas serosanguinolentas. La presentación gastrointestinal se caracteriza por vómitos, pérdida de peso y diarrea, con lesiones granulomatosas, áreas de engrosamiento mural y ulceración de la mucosa (Mendoza 2016, Carnaúba 2023).
Esta enfermedad es de distribución mundial, presentándose en mayor medida en climas tropicales y subtropicales. Este patrón epidemiológico resulta relevante para el presente caso, dado que, en Termas de Río Hondo, ubicado en la provincia de Santiago del Estero - Argentina, el tipo de clima es subtropical, con invierno seco y verano cálido. A lo largo del año, la temperatura promedio varía entre los 6 °C y los 33 °C. Excepcionalmente puede bajar a menos de 1 °C o ascender a más de 38 °C. Las precipitaciones promedio son de 629 mm; los mayores registros se producen durante los meses más calurosos (octubre-abril) con un máximo mensual en el mes de febrero. Contiene grandes extensiones de cuerpos de agua con bosques y humedales que los rodean, donde habita una importante comunidad de especies de plantas acuáticas (Balbi et al. 2018).
Este reporte documenta y analiza un caso de un paciente canino proveniente de Termas de Río Hondo, compatible con pitiosis entérica con desenlace fatal con el objetivo de aportar información clínica y epidemiológica que contribuya a la identificación temprana de esta patología.
Reseña. Se presenta a consulta un paciente canino mestizo, macho de 3 años de edad, procedente de Termas de Río Hondo, provincia de Santiago del Estero, Argentina.
Anamnesis. El 23 de marzo de 2025 el paciente fue presentado por un cuadro de gastroenteritis de aproximadamente un mes de evolución. Previamente, se encontraba bajo tratamiento en otra clínica veterinaria, aunque no se disponía de información detallada sobre los tratamientos instaurados. En cuanto a los antecedentes epidemiológicos del paciente, cabe señalar que se trataba de un canino adoptado, cuyo origen y condiciones de vida durante sus primeros meses resultan desconocidos; bajo el cuidado de sus tutores, el animal realizada paseos esporádicos en su entorno cercano, sin antecedentes de desplazamientos fuera de su ciudad de residencia.
Examen clínico inicial. En la evaluación física se evidenció deshidratación severa (7%), en estupor, con temperatura normal, mucosas rosadas con tiempo de llenado capilar de 1 segundo y dolor abdominal moderado a la palpación.
Se realizó una evaluación AFAST de urgencia, observándose signos compatibles con gastritis e inflamación en el tracto intestinal focalizado y ausencia de líquido libre abdominal. Ante estos hallazgos, se indicó hospitalización inmediata y realización de métodos complementarios adicionales (Tabla 1). El tratamiento instaurado en internación fue de metamizol, maropitant, hepatoprotectores, enrofloxacina, omeprazol, metronidazol y protocolo CRI de ketamina y lidocaína.

Evolución clínica. Durante las primeras 24 horas de hospitalización se registró mejoría en parámetros fisiológicos, estado mental y disminución del dolor abdominal; sin embargo, no hubo respuesta favorable al tratamiento antiemético. Por razones económicas, el tutor solicitó continuar el tratamiento en forma ambulatoria, a la espera de completar los estudios complementarios.
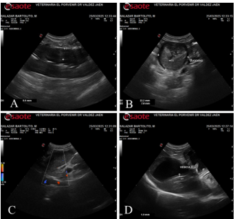
El 25 de marzo el paciente regresó por empeoramiento clínico. En el ultrasonido se evidenció en la porción descendente del duodeno, posterior a su flexura inicial, un engrosamiento severo y concéntrico de la pared con pérdida de la estratificación, con un espesor de 0 ,70 cm que se extendía desde el epigastrio derecho hasta la región craneal de la vejiga urinaria con contenido luminal de patrón fluido. En el resto del intestino no se observaron irregularidades en la superficie de la pared, ni engrosamiento de la misma. La estratificación se encontraba conservada, al igual que el peristaltismo. Se identificó linfonodos yeyunales reactivos (Figura 1 A, B y C). La vesícula biliar se encontraba pletórica y presentaba engrosamiento de la pared de 0,19 cm, hipoecogénica y con la mucosa levemente irregular. Además, presenta contenido anecogénico con barro biliar escaso en zona declive (Figura 2 D).

El 27 de marzo se llevó a cabo la laparotomía exploratoria, se identificó una lesión segmentaria de aproximadamente 15 cm de intestino delgado, que comprometía todas las capas intestinales hasta la serosa, y presentaba alteraciones marcadas en la coloración, consistencia y superficie. Se observó además reacción peritoneal con adherencias mesentéricas en la zona afectada. Se realizó enterectomía con anastomosis término-terminal y lavado peritoneal con solución fisiológica. El paciente permaneció hospitalizado por 48 horas, con evolución clínica favorable (Figura 2).

El 29 de marzo mediante control AFAST se evidencio la presencia de líquido libre en todos los cuadrantes abdominales. La laparocentesis reveló líquido serohemorrágico; se enviaron muestras para análisis físico químico y cultivo bacteriológico, y se indicó ecografía abdominal especializada.
El 30 de marzo, ante la sospecha de complicación quirúrgica, se efectuó una nueva laparotomía exploratoria, constatándose dehiscencia completa de la sutura de la anastomosis, con extensión de la lesión intestinal y peritonitis grave. Se realizó nuevamente una enterectomía con anastomosis término-terminal, lavado peritoneal y transfusión sanguínea.
El segundo ultrasonido se realizó el día 31 de marzo, luego de la segunda intervención quirúrgica; en este se observó, en la porción descendente del duodeno un engrosamiento severo y concéntrico de la pared con pérdida de estratificación, con un espesor de 0,65 cm que se extendía en el mesogastrio derecho relacionada al riñón, con un contenido de patrón fluido, similar a la imagen obtenida en el primer estudio ultrasonográfico. El resto del intestino presentaba un aspecto corrugado, pero sin engrosamientos, conservando la estratificación y el peristaltismo. Se identificó linfonodos yeyunales reactivos y signos claros de peritonitis (Figura 3).

El paciente falleció el 1 de abril de 2025 mientras permanecía hospitalizado.
El examen citológico directo del líquido obtenido mediante abdominocentesis reveló una población celular regular de polimorfonucleares, mientras que la tinción de Gram evidenció la presencia de bacilos Gram negativos. El cultivo microbiológico permitió el aislamiento e identificación de Proteus mirabilis como agente bacteriano, con sensibilidad a carbapenémicos (imipenem y meropenem), la combinación piperacilina-tazobactam, cefotaxima y aminoglucósidos (gentamicina y amikacina). Los resultados del antibiograma estuvieron disponibles con posterioridad al fallecimiento del paciente, lo que imposibilitó la instauración de una terapia antimicrobiana dirigida según el perfil de sensibilidad obtenido.
Para la histopatología se remitió 1 pieza de 4 x 4 x 3 cm de intestino delgado tomada intraquirúrgicamente. Macroscópicamente el segmento presentaba una configuración cilíndrica con una pared engrosada y de consistencia firme, color blanquecino y una disposición concéntrica que reducía marcadamente la luz intestinal.
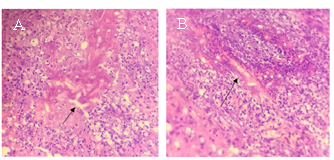
El examen microscópico reveló que aproximadamente el 95% de los cortes histológicos del duodeno presentaban alteraciones morfológicas significativas, con un marcado compromiso de la luz intestinal, la cual se observaba notoriamente reducida por el engrosamiento parietal. La lesión comprometía la grasa mesentérica, serosas, capas musculares, lámina propia y mucosa con un fuerte infiltrado inflamatorio difuso; caracterizado por neutrófilos, abundantes células gigantes multinucleadas y numerosas células linfoplasmocíticas acompañadas de proceso fibrótico severo. Multifocalmente el mesenterio, capas musculares, submucosa y lámina propia mostraba acúmulos de material amorfo eosinofílico en forma de estrella junto con abundantes células inflamatorias (neutrófilos, eosinófilos, histiocitos, células gigantes multinucleadas) y material necrótico; en el centro de esta condensación se observó formas filamentosas a cilíndricas septadas con ramificaciones de 50µm de diámetro (fenómeno de Splendore-Hoeppli).
En la lámina propia y en la mucosa se evidenció un infiltrado inflamatorio mixto, acompañado de fibroplasia severa, hemorragia y congestión de los vasos sanguíneos. Se observaron escasas vellosidades intestinales y restos de estructuras glandulares, mientras que el resto de la mucosa presentaba extensas áreas de necrosis. En la luz del órgano se identificaron restos necróticos y colonias bacterianas distribuidas de manera aleatoria.
El diagnóstico clínico-patológico fue peritonitis y duodenitis transmural, severa, crónica y de carácter piogranulomatoso difuso, acompañada de fibrosis marcada y necrosis tisular, donde se identificaron estructuras hifales compatibles con un agente de tipo fúngico. Estos hallazgos permitieron establecer el diagnóstico etiológico definitivo de pitiosis entérica, atribuido al agente causal Pythium spp. (Figura 4). En paralelo, se constató una complicación bacteriana secundaria, confirmada por el aislamiento e identificación de Proteus mirabilis en el líquido ascítico.

Ecográficamente las lesiones fueron principalmente focales, aunque no siempre se pudo estimar su longitud. Todos los perros presentaron engrosamiento de la pared gastrointestinal, algunos presentaron lesiones circunferenciales; otros mostraron engrosamiento focal de la curvatura mayor del estómago y una masa excéntrica en el colon. En todos los casos hubo pérdida del patrón normal de capas de la pared intestinal. En la mayoría de los perros, la pared engrosada era uniformemente ecogénica, de moderadamente a casi anecoica, con un margen mucoso hiperecogénico. Algunos incluso presentaron ganglios linfáticos regionales agrandados, con apariencia hipoecoica o de ecogenicidad mixta.
Entre los diagnósticos diferenciales ecográficos de las enfermedades gastrointestinales inflamatorias se suele incluir: neoplasias, gastropatía urémica, enteropatía inmunoproliferativa, enteritis linfoproliferativa, linfangiectasias. No obstante, las lesiones causadas por pitiosis suelen asemejarse más a neoplasias que a inflamaciones propiamente dichas, debido a la pérdida de estratificación de los tejidos y a la presencia de agrandamiento ganglionar regional. Pese a lo sugerente, la ultrasonografía solo aporta imágenes presuntivas acortando el abanico de patologías responsables del cuadro (Graham et al. 2000).
La histopatología del órgano afectado sigue siendo el Gold standard, donde las tinciones de hematoxilina y eosina, tinción de plata con metenamina de Grocott, ácido peryódico de Schiff, rojo sirio y azul de toluidina revelan la arquitectura granulomatosa característica con necrosis eosinofílica, fibrosis y las hifas típicas del organismo (Silva et al. 2025).
Este agente puede ser aislado mediante cultivo aerobio en medios que no contengan cicloheximida, como el agar Sabouraud. El crecimiento del patógeno es notablemente rápido cuando se incuba a 37 °C (Carnaúba 2023).
Otros métodos diagnósticos como la serología (inmunodifusión, Western blot, ELISA, hemaglutinación e inmunocromatografia) y técnicas moleculares como la PCR permiten la identificación precisa del patógeno y su diferenciación (Yolanda y Krajaejun 2022, Silva et al. 2024, Barua et al. 2025).
Tratamiento. El abordaje de la pitiosis entérica en caninos requiere un enfoque multimodal, siendo el tratamiento de elección la resección quirúrgica, con márgenes de 3-4 cm de tejido sano para reducir el riesgo de recurrencia local. Sin embargo, dada la naturaleza infiltrativa de las hifas de Pythium spp. y la elevada tasa de recidiva reportada en la literatura, la cirugía debe complementarse necesariamente con terapia antifúngica prolongada durante 2-3 meses postoperatorios. A pesar de que la ausencia de ergosterol en este oomiceto limita el mecanismo de acción primario de los antifúngicos tradicionales, los esquemas combinados de itraconazol (5-10 mg kg-1 cada 12-24 horas) con terbinafina (30-40 mg kg-1 cada 24 horas) han demostrado cierta eficacia adyuvante, aunque su penetración tisular en lesiones fibrosadas puede ser limitada (Dycus et al. 2015, Manço et al 2021, Sukanan 2022).
En contraste con los equinos, donde la inmunoterapia ha mostrado resultados alentadores, en caninos la respuesta a vacunas autólogas o comerciales es inconsistentemente pobre, lo que reduce su utilidad clínica. El manejo complementario debe incluir tratamiento sintomático agresivo con fluidoterapia de mantenimiento, analgesia multimodal y antibioticoterapia dirigida contra infecciones bacterianas secundarias, particularmente en casos con compromiso de la barrera intestinal. Además de un soporte nutricional mediante una dieta altamente digestible, baja en grasas y suplementada con ácidos grasos (Dycus et al 2015, Manço et al. 2021).
El pronóstico sigue siendo reservado incluso con intervención temprana, ya que la extensión subclínica de las lesiones frecuentemente supera los márgenes quirúrgicos y la respuesta a los antifúngicos es variable.
Este reporte documenta un caso fatal de pitiosis entérica en un canino de la región subtropical de Termas de Río Hondo, Argentina, destacando los desafíos diagnósticos y terapéuticos de esta enfermedad en áreas donde las condiciones ambientales favorecen el desarrollo de Pythium spp. La evolución fulminante del paciente, a pesar del manejo quirúrgico y médico agresivo, refleja la naturaleza devastadora de esta infección y subraya su potencial subdiagnóstico en regiones con recursos limitados.
Esta problemática adquiere mayor relevancia al considerar que el número de casos de pitiosis notificados anualmente es relativamente bajo, independientemente de la especie infectada. Es muy probable que esta cifra se encuentre subestimada, ya que la enfermedad ocurre predominantemente en zonas rurales y países en desarrollo, donde el acceso a métodos de diagnóstico avanzado es limitado y la concientización sobre la enfermedad puede ser baja. La convergencia de estos factores (un ambiente propicio, limitaciones diagnósticas y una presentación clínica inespecífica) crea un escenario donde la pitiosis puede pasar inadvertida, lo que explicaría la aparente rareza de reportes en regiones que, como el noroeste argentino, poseen las condiciones ideales para el desarrollo del patógeno.
En este contexto, es crucial destacar que el análisis histológico e inmunohistoquímico de muestras de biopsia obtenidas durante la vida del animal puede incrementar significativamente las chances de un diagnóstico temprano. Como ha sido reportado previamente, la identificación oportuna del agente permite la implementación de una terapia adecuada y agresiva, mejorando sustancialmente el pronóstico. Por lo tanto, frente a un cuadro gastrointestinal crónico y refractario en una zona de riesgo, la toma de biopsias para estudio histopatológico debe ser considerada una herramienta diagnóstica de primera línea, superando la barrera que supone la falta de acceso a técnicas moleculares más complejas.
De acuerdo con la información recopilada, este constituye el primer reporte documentado en Argentina de pitiosis gastrointestinal con confirmación histopatológica. En el cual la presentación clínica, los hallazgos ecográficos y el patrón histopatológico característico (confirmado mediante tinciones especiales) proporcionan un marco de referencia para futuros casos, especialmente en zonas donde el acceso a técnicas moleculares avanzadas es restringido. Este trabajo contribuye a la escasa literatura nacional sobre pitiosis en caninos y resalta la necesidad de incluir esta entidad en el diagnóstico diferencial de síndromes gastrointestinales crónicos en áreas con condiciones climáticas similares. La identificación temprana y el registro sistemático de casos serán fundamentales para comprender mejor la epidemiología local de esta enfermedad y mejorar su manejo en la práctica veterinaria regional.
Contribución de los autores. LMF: Conceptualización, administración del proyecto, investigación, redacción de borrador original, revisión y edición. LCL: Redacción de borrador original. IBA: Redacción de borrador original, revisión y edición. FM: Supervisión, redacción de borrador original, recursos y captación de fondos. VJG: Investigación, conceptualización y redacción de borrador original. LF: Investigación.
Conflicto de intereses. Los autores de este manuscrito declaran no tener conflictos de intereses de carácter personal, financiero o profesional que pudieran influir en los resultados o la interpretación presentados en este trabajo.